吃飯一個小小疏忽!37歲男子「竟要切肝保命」當場嚇傻
37歲的李先生(化名)至今仍難以相信,這根藏在體內半個月的「隱形殺手」,竟險些讓他陷入生命危險。

Advertisements
半月前,李先生在沒有明顯感覺的情況下,不小心吞食了一根魚刺。幾天後,他陸續出現腹痛、發熱、畏寒等癥狀,體溫一度高達40℃。在當地醫院,醫生診斷為「肝膿腫」,並給予抗炎、補液及穿刺引流治療。可高燒反覆、腹痛難解,始終沒有找到確切的病因。

Advertisements
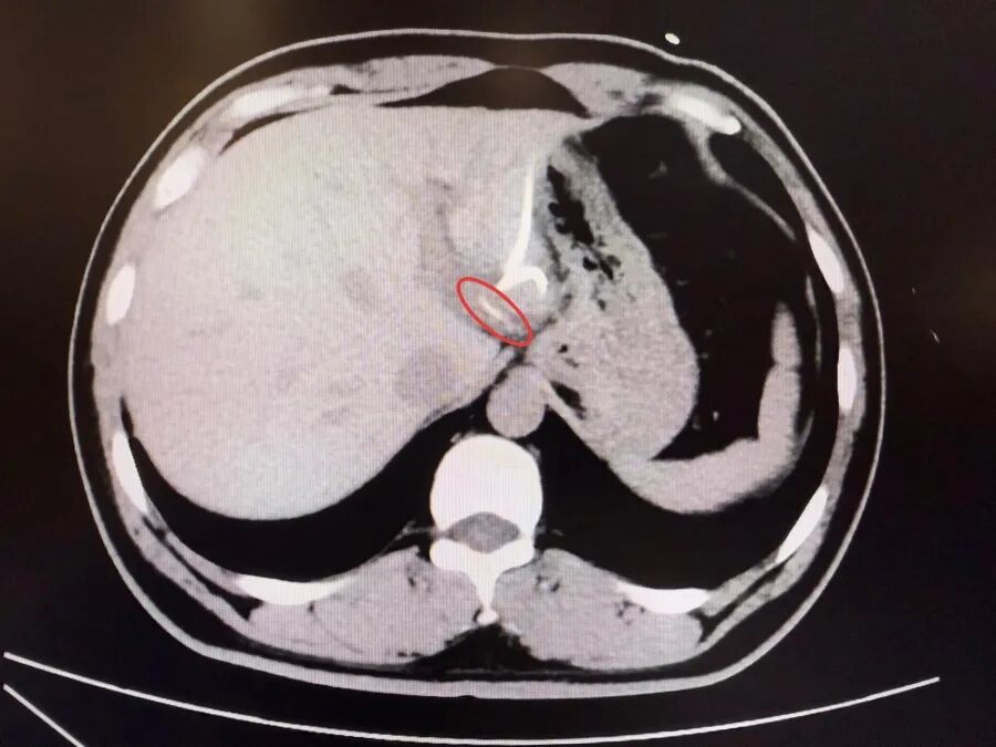
直到行CT檢查時,醫生才驚訝地發現——肝臟左葉靠近胃賁門處,竟有一條細長的高密度影,形似魚刺。原來,那根魚刺在吞咽厚穿透了胃壁,從賁門區域「鑽」入肝臟,引發感染與膿腫。在簡單進行肝膿腫介入穿刺引流后,當地外科醫生評估后認為,要徹底清除異物,需要進行左半肝切除手術,但這對於李先生來說,創傷大、風險高,他難以接受。

而魚刺位置非常兇險,就在賁門旁刺入左肝,緊貼大血管。病程長、腹腔感染粘連嚴重,術中可能找不到魚刺,一旦操作不慎也會造成內鏡下無法控制的大出血。而後醫師提出了個大膽的設想——能否通過胃鏡,在食道管壁夾層建個隧道「開一扇門」,直接進入腹腔取出魚刺?這個想法意味著要讓內鏡「跨越」胃壁的天然邊界,是一次前所未有的嘗試。